Periodoncia

Es el tratamiento de todos los problemas de las encías y el hueso que sostiene los dientes. Cada diente está enclavado en el hueso, unido fuertemente por una serie de estructuras que garantizan su fortaleza y correcto funcionamiento.

 

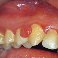
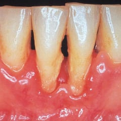
En ocasiones, las estructuras que rodean y soportan al diente (encías y hueso), se ven afectadas de forma importante. Esto desencadena un proceso degenerativo continuo, que progresa lentamente, hasta llegar a un estado avanzado en el que el diente se mueve en exceso y se termina “cayendo”.

 

La periodoncia es la encargada de evitar que pierdas tus dientes mediante la limpieza y refuerzo de los tejidos que los soportan. 

Periodoncia queretaro